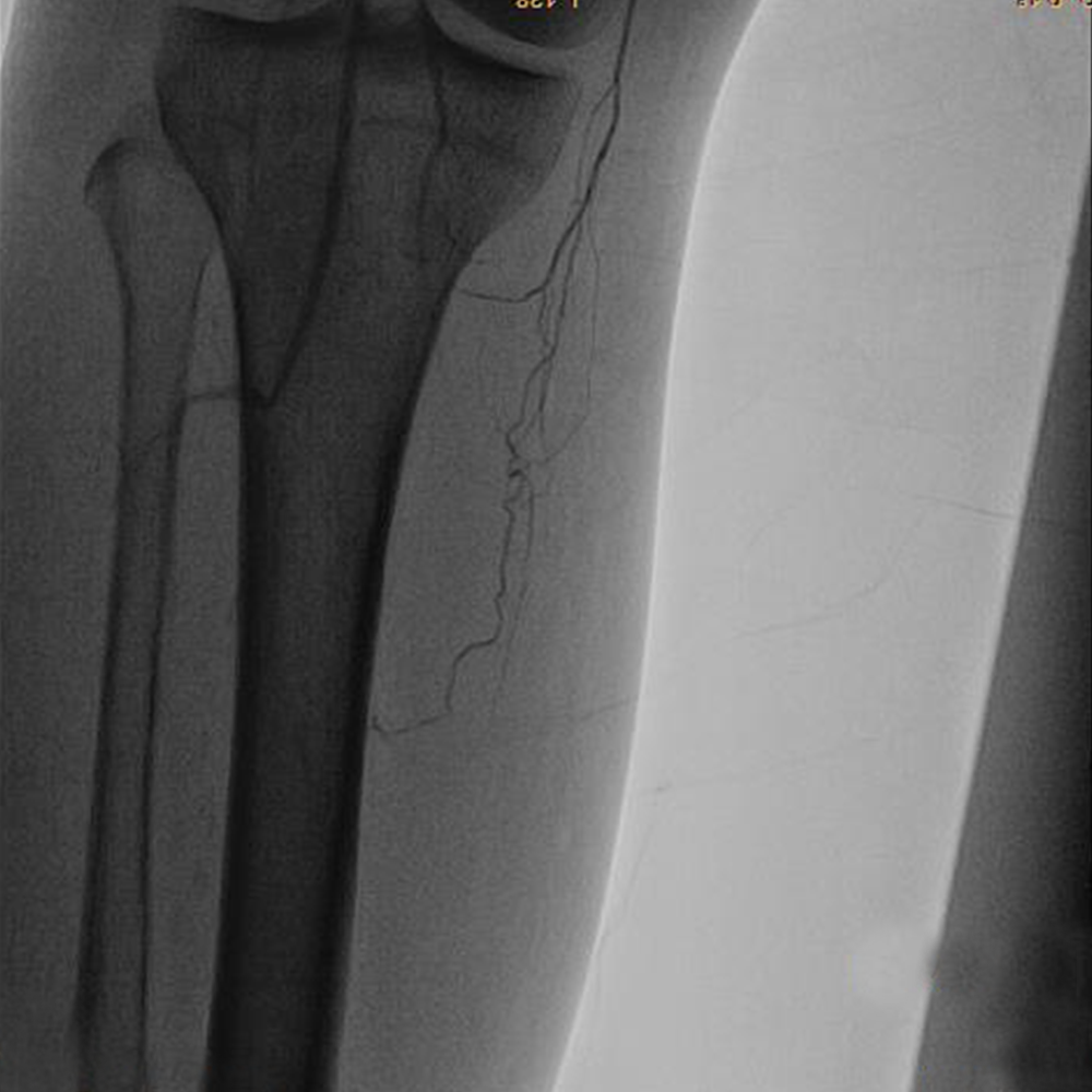
Tibial Artery Occlusion

Diabetic foot ulcerations are broadly divided into ischemic, neuroischemic, and neuropathic ulcers. In recent studies,more than 50% of diabetic foot ulcers are of ischemic or  neuroischemic origin. In patients with diabetes, the incidence of infrapopliteal/foot arterial occlusive disease is high in this patient subgroup.

Critical limb Ischemia(CLI) is defined as persistent, recurring ischemic rest pain requiring opiate analgesia for at least 2 weeks,with ulceration or gangrene of the foot or toes (or absent pedal pulses in diabetics). Progression to gangrene occurs in 40% of patients with Diabetes , compared with only 9% in nondiabetic patients with CLI.

Endovascular treatment of infrapopliteal lesions has become more common and techniques continue to improve, Vascular Specialists are exploring use of endovascular therapy in more distal arterial territories.

The pedal loop technique, allows for intervention on the distal tibial arteries and the pedal/plantar loop while only using one access site which can improve transcutaneous oxygen tension in the foot at 15 days.  The angiosome concept has gained popularity as an approach to improve limb salvage, whereby the target vessels for revascularization are chosen based on the angiosome in which the wound is located. The limb salvage was 86% when wound angiosomes were directly revascularized versus 69% for indirect revascuarlization.

Treatment options in Endovascular Surgery are Infrapopliteal Angioplasty, Infrapopliteal Angioplasty and Stenting, Drug-Eluting Stents, Excisional atherectomy. These techniques mentioned above are deployed appropriately to get the best outcomes for limb salvage.   

PREOPERATIVE ASSESSMENT AND PREOPERATIVE IMAGING with Duplex scan of lower limb arterial system,CT angiogram and In most patients, standard arteriography is still the “gold standard. If endoluminal therapy is the case, Endoluminal/Endo Vascular treatment at the time of diagnostic arteriography is  performed.

If open bypass is the plan, then  the focus is to visualize potential target arteries and obtain multiple views, as required, to ascertain that no unexpected inflow disease is present that would require treatment before proceeding with Infra inguinal bypass. Although most claudicants require only femoropopliteal bypass, a high proportion of patients with CLI require tibial or pedal bypass. Patients with CLI generally require intervention, since patients with CLI pose a more complex problem because there is a high anticipated amputation rate without lower extremity arterial reconstruction.

Thus, a patent anterior tibial or posterior tibial artery in direct continuity with the foot and pedal arch would be chosen. The preferred conduit for Bypass surgery is Autogenous Vein graft (Saphenous vein)

Particularly in diabetic patients with leg ulcers or Gangrene, emphasize on the importance of restoring a pedal pulse and maximizing forefoot reperfusion adds tremendous value in maintaining graft patency and limb salvage.

POSTOPERATIVE MANAGEMENT includes, Antiplatelet Therapy, Anticoagulation and wound care.